10 Clinics Across London 600,000 Treatments Free Consultation Award Winning Treatments

Carbon Laser Facial

Also known as the Hollywood Peel, the Carbon Laser Facial gives you 4 peels in 1, helping you refresh and revitalise your skin with no downtime.

Who is the Carbon Laser Facial for?

The Carbon Spectra Hollywood Peel is an exfoliating and resurfacing treatment which is suitable for all skin types. Gentle on your skin and suitable for all ages, it will leave your skin smoother, plumper and more refreshed.

The Carbon laser facial is ideal for:

  • Removing excessive oil & sebum
  • Refining and minimising enlarged pores
  • Helping pigment & hyperpigmentation damage
  • Lessening the appearance of fine lines & wrinkles
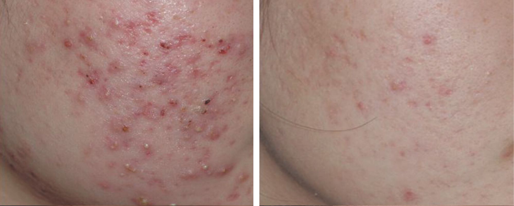
  • Reducing live acne & post-acne scars

If you are looking for a skin rejuvenation treatment to make your skin look and feel Hollywood red carpet ready then the Carbon laser facial is definitely for you!

Take your next step today and book your free consultation with our skin specialists.

Is the carbon facial the same as the carbon spectra peel and Hollywood peel?

The carbon facial goes by many names so it can get confusing!. But don’t worry they are exactly the same treatment. The most popular terms you may have heard are :

  • Hollywood Peel
  • Carbon Spectra Peel
  • Carbon Laser Facial
  • Charcoal Facial

How much does Carbon Laser Facial cost?

Carbon Laser Facial treatment can cost as little as £150 per session. Keep an eye on our special offers page for future deals and discounts.

What is Carbon Laser Facial?

The Carbon laser facial peel is an exfoliating and resurfacing treatment. It uses activated carbon powder and advanced Q-switch Revlite & Spectra lasers to treat many conditions. Gentle on your skin and suitable for all ages, it will leave you and your skin smoother, plumper and refreshed.

Aftercare

Post-care will be provided by your practitioner which will involve a serum/ moisturiser specific to your skin. This allows products to absorb and protect your skin. Before bed clean the skin gently using cotton and warm water before applying your usual cream.

How does Carbon Laser Facial work?

STAGE 1 – Carbon Nano-Particles Applied

The procedure takes about 45 minutes starting with the therapist attaching eye protectors to you. A face mask of activated charcoal or carbon powder is prepared and delicately applied to your face. Once applied, it will look like you are wearing a mud mask!

STAGE 2 – Shattering dirt & epidermal keratinocytes

The laser passes over your skin on the Spectra setting emitting pulses which heat thin layers of collagen and skin tissue. The carbon absorbs heat then transfers the heat to allow deeper penetration to your skin.

Laser energy works to break up any pigment, which is carried away by your body naturally. It also helps to stimulate the build-up of collagen which minimises fine lines.

STAGE 3 – Stimulating the skin cells regeneration

The laser then goes over your skin in the Q-switch mode lightly exfoliating your skin. You will hear a soft snapping noise as the carbon is blasted off the skin. You may feel a light tingling. This superficial peeling removes excessive sebum, exfoliates the upper layer of skin and unclogs pores.

STAGE 4 – New collagen and elastin production

The final pass is made over your face to ensure all the carbon is removed. The frequency of the laser is increased again to ensure all the carbon has been vaporised.

Always use SPF of 30 or above.

Frequently Asked Questions

CARBON LASER FACIAL REVIEWED BY THE DAILY MAIL

We were lucky enough to have Dira the Beauty Correspondent from the Daily Mail review our Premier Laser Carbon Laser Facial treatment (luckily she thought it was fab!– read her experience below).

CAN CARBON LASER REMOVE ACNE SCARS?

The laser blasts microscopic holes into your skin which helps promote collagen growth and killing any live bacteria which can improve acne. For acne scarring we would recommend stronger treatments.

WHAT ARE THE RISKS ASSOCIATED WITH SPECTRA CARBON PEEL?

Spectra Laser Peel is a safe treatment that is performed on thousands of men and women each year. It is recommended that you consult your practitioner regarding any concerns that you may have.

HOW LONG DOES CARBON LASER FACIAL TAKE?

The treatment takes around 30 minutes with effects noticeable immediately. You’ll notice brighter skin and it will feel smoother and softer then it has done in a long time.

Find Your Nearest Clinic

Located accross 10 clinics in London & Surrey